Table of Contents
- What Are Dental Crowns, Exactly?
- The 6 Types of Dental Crowns
- Dental Crown Comparison Chart
- How to Choose the Right Crown for You
- Getting a Crown at Somerset Dental: What’s Different
- Frequently Asked Questions
There are six types of dental crowns, and choosing the right one depends on more than just what looks good. All-porcelain, all-ceramic, zirconia, porcelain-fused-to-metal (PFM), composite resin, and metal crowns each have different strengths, limitations, and ideal uses.
Dental crowns protect teeth that have been damaged, decayed, or weakened, and they’re one of the most routine procedures in dentistry. Maybe your dentist just told you that you need one, and now you’re sitting in the car trying to figure out your options. Here’s what you need to know.
What Are Dental Crowns, Exactly?
A dental crown is a custom-fitted cap that’s placed over a damaged or weakened tooth.
It restores the tooth’s shape, size, strength, and appearance while protecting it from further damage.
You might need one after a root canal, a large filling that’s compromised the tooth’s structure, or when a tooth is cracked, worn down, or significantly decayed. Placing a crown lets your dentist save a tooth that might otherwise need to come out.
Crowns are also used to anchor dental bridges and cover implants.
The 6 Types of Dental Crowns
1. All-Porcelain Crowns
All-porcelain crowns are made entirely from porcelain. No metal and no ceramic base. Their translucency is unmatched. Light passes through them the same way it does through natural enamel, making them the most aesthetically refined option for front teeth.
- Pros: Superior translucency and natural appearance. Metal-free. Excellent colour matching for visible front teeth.
- Cons: More fragile than other crown types. May not be suitable for back teeth or patients who grind. Can chip under heavy bite forces.
- Works well for: Front teeth where maximum aesthetics are the priority and bite forces are low.
The terms ‘all-porcelain’ and ‘all-ceramic’ are sometimes used interchangeably.
2. All-Ceramic Crowns
“All-ceramic” is an umbrella term for crowns made from non-metal ceramic materials, including lithium disilicate and zirconia-based ceramics. Despite sounding similar to all-porcelain, these are meaningfully different. All-ceramic materials are significantly stronger and can handle the demands of back teeth.
- Pros: High strength and durability. Natural appearance. 100% metal-free, ideal for patients with metal sensitivities. Versatile enough for front and back teeth.
- Cons: Some all-ceramic materials can appear slightly more opaque than feldspathic porcelain, which may matter for very visible front teeth.
- Works well for: Patients who need strength without metal in both front and back tooth positions.
3. Zirconia Crowns
Zirconia is technically a ceramic, but its strength puts it in a class of its own. It’s comparable to or stronger than metal, with a tooth-coloured finish. It’s now the most commonly recommended crown material in modern dentistry, and it works well for both front and back teeth.
- Pros: Exceptional durability. Natural tooth colour. Metal-free. Gentle on opposing teeth.
- Cons: Colour range can be less nuanced than full feldspathic porcelain for very visible front teeth.
- Works well for: Most patients. Particularly strong choice for back teeth and anyone who wants longevity without visible metal.
4. Porcelain-Fused-to-Metal (PFM) Crowns
PFM crowns have a metal core for strength with a porcelain exterior for appearance. They were the industry standard for decades and remain a reliable option, though zirconia has largely replaced them for new placements.
- Pros: Good balance of strength and aesthetics. Long clinical track record. Works for both front and back teeth.
- Cons: The metal core can show as a dark line at the gumline over time, especially if gums recede. The porcelain layer can chip. Harder than natural teeth, which can cause wear on opposing teeth. Some patients also develop sensitivities to the metal alloys used—something worth discussing with your dentist if you have a history of metal allergies.
- Works well for: Patients who need durability with a natural look, particularly where cost is a consideration.
5. Gold and Metal Alloy Crowns
Metal crowns (gold, palladium, or base metal alloys like nickel or chromium) are the most durable option available. They rarely chip or fracture, require less removal of tooth structure than other crown types, and are gentle on opposing teeth. The trade-off is they don’t look like natural teeth.
- Pros: Exceptional longevity. Withstand heavy chewing forces. Minimal tooth structure removal required.
- Cons: Metallic appearance. Gold crowns carry a higher cost. Some patients are sensitive to certain alloys, particularly nickel.
- Works well for: Out-of-sight molars where strength and longevity matter more than appearance.
6. Composite Resin Crowns
Resin crowns are made from composite material. They are more affordable and easier to place than permanent crown types, but they are not built to last. Their primary role is as a temporary restoration while a permanent crown is being made.
- Pros: Cost-effective. Easy to place. A practical temporary solution.
- Cons: Less durable than all other crown types. Prone to staining and wear over time.
- Works well for: Temporary restorations.
Dental Crown Comparison Chart
| No | ||||
| Poor | No |
How to Choose the Right Crown for You
The best crown for you depends on several factors that your dentist will assess together with you.
That said, here’s a practical framework:
→ Where is the tooth? Back teeth (molars and premolars) take the brunt of chewing force. Zirconia or metal crowns tend to hold up best here. Front teeth are where appearance matters most, so porcelain or zirconia are typically the preference.
→ Do you grind your teeth? If you have bruxism (teeth grinding), durability should be your top priority. Zirconia or metal crowns are the most resistant to the forces involved.
→ Do you have metal sensitivities? Porcelain and zirconia are both metal-free options that work well for patients with allergies or sensitivities.
→ What’s your budget? Resin is the most affordable in the short term, but metal and zirconia tend to offer better long-term value because they last longer and require less maintenance. Your dental insurance plan may also influence what’s most cost-effective.
→ What does your dentist recommend? The shape of your bite, the condition of the underlying tooth, and the placement in your mouth all play a role.
Getting a Crown at Somerset Dental: What’s Different
Most crown anxiety isn’t about the crown. It’s about the needles and potential pain.
At Somerset Dental, we use Solea laser technology, which means most patients skip the injection entirely. The laser is precise and quiet, and because it generates minimal heat and trauma to surrounding tissue, your mouth recovers faster than it would after conventional drilling.
If your tooth also needs crown lengthening (where gum tissue has to be reshaped to give the crown enough structure to adhere), that can happen in the same appointment. No scalpels, no stitches. This clinical case study shows how precisely the Solea laser handles this procedure.
If you’ve been putting off getting a dental crown because you’re dreading the process, book a consultation and learn more about our modern dentistry solutions.
Same-Day Crowns at Somerset Dental
For many patients, crown prep and placement can be completed in a single visit.
Frequently Asked Questions
How long do dental crowns last?
With proper care, most permanent crowns last 10 to 30 years. Zirconia and metal crowns tend to have the longest lifespans. Good oral hygiene, regular dental visits, and avoiding habits like chewing ice or opening packages with your teeth all help extend the life of your crown.
Does getting a crown hurt?
The procedure itself is done under local anaesthetic (or, at Somerset Dental, often with our Solea laser), so you shouldn’t feel pain during the appointment. Some sensitivity and mild soreness in the days after placement is normal and usually resolves quickly.
Can a crown fall off?
It’s uncommon but can happen, typically if the cement weakens over time or if the underlying tooth structure changes. If your crown feels loose or falls off, contact your dental office promptly. A crown that’s been off for a while is harder to re-cement.
Is a crown better than a filling?
They serve different purposes. A filling repairs a portion of a tooth. A crown is recommended when the damage is too extensive for a filling to hold—typically when more than half the tooth structure is affected, or after a root canal. Your dentist will recommend the option that best preserves the tooth long-term.

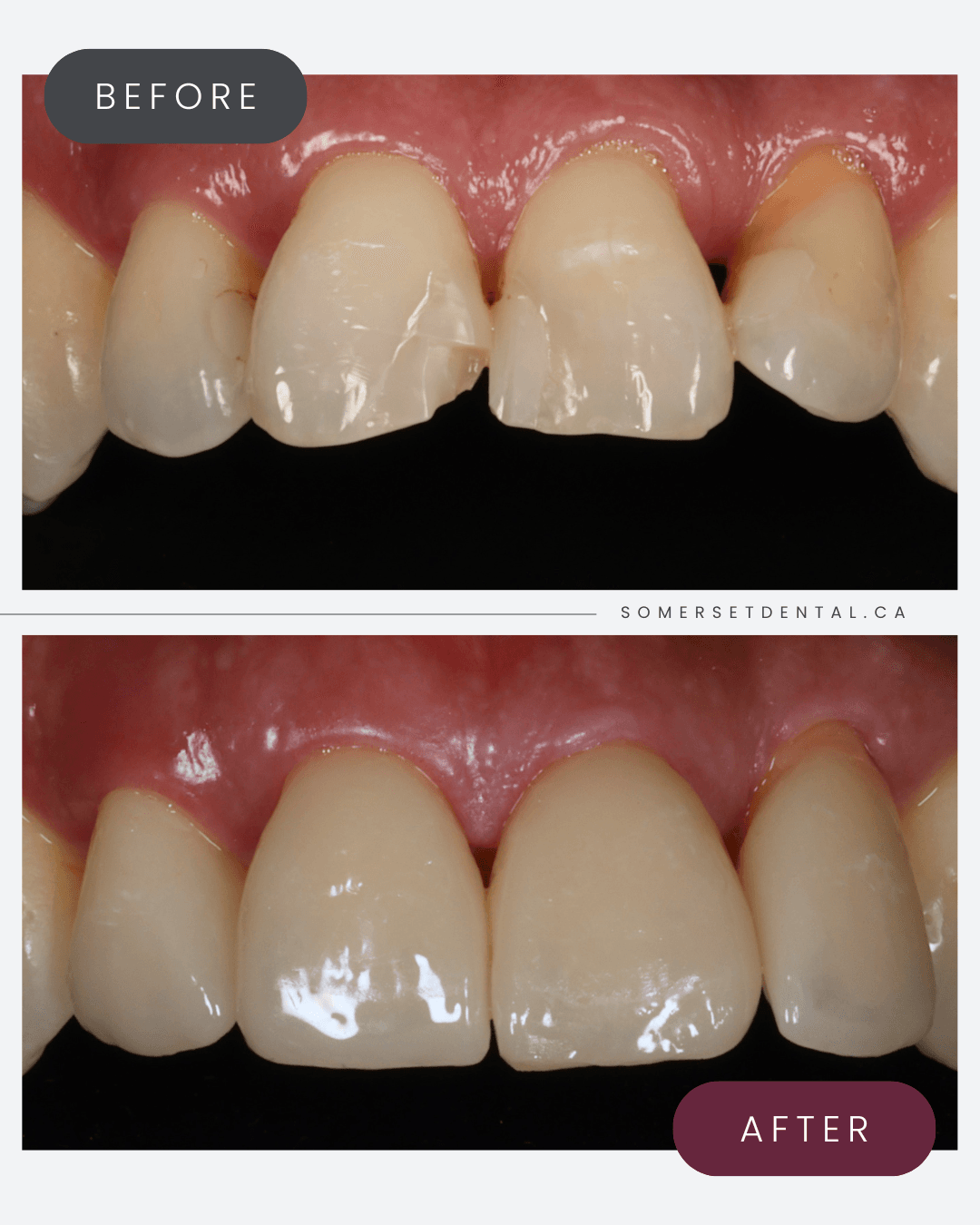
This patient came in with worn, damaged front teeth and left the same day with four custom crowns.
Have Questions About Your Crown Options?
If you’ve been told you need a crown and aren’t sure where to start, we’re happy to talk through your options.
There are six types of dental crowns, and the right one for you depends on your tooth, your bite, and your goals.
Call us at (587) 847-0662 to book a consultation.
